![]() |
Изъян зубного ряда может быть замещён металлокерамическим мостовидным протезом. При необходимости, из эстетических соображений к коронкам может добавляться искусственная десна. Для придания протезу наибольшей естественности на коронках могут имитироваться трещинки, пятна, неравномерная окраска, фасетки стирания. |
![]() |
На недоступной взгляду задней (язычной) поверхности мостовидного протеза для предотвращения его опрокидывания и обеспечения стабилизации создаются опорные площадки, фрезерованные направляющие желоба. На крайних коронках формируются выпуклые части (патрицы) микрозамков (аттачменов). К ним впоследствии будет крепиться дуговой (бюгельный) протез с эстетичной замковой фиксацией. |
![]() |
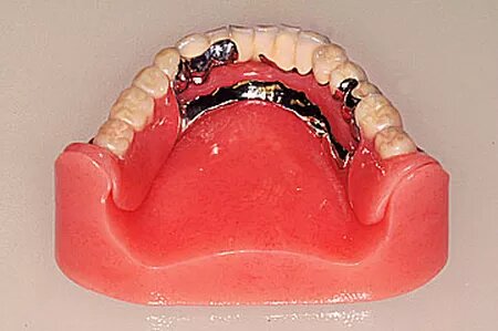
Съёмный протез изготавливается на металлическом (из кобальто-хромового сплава) каркасе. Фрагменты искусственной десны с зубами объединяются этим каркасом в единое целое. Тонкая металлическая перемычка (дуга) позволяет избежать закрытия пластмассовым базисом значительной площади поверхности слизистой оболочки и естественных зубов. Всё это позволяет обеспечить пациенту максимум комфорта, свести к минимуму возможные на первых порах использования протеза нарушения речи, сохранить естественное чувство температуры пищи, тактильную чувствительность. |
![]() |
На внутренней поверхности протеза изготавливаются скрытые в толще искусственных зубов приёмные части микрозамков (матрицы). Фиксация протеза осуществляется по принципу одёжной кнопки: патрица входит в матрицу и, благодаря своей шаровидной форме, при небольшом усилии защёлкивается в ней. |
![]() |
Такой протез надёжно удерживается во рту, позволяет употреблять любую пищу, обеспечивает возможность хорошего гигиенического ухода. |
![]() |
Несъёмный и съёмный протезы в сборе на взгляд практически не отличаются от естественных зубов. На модели видно, что в переднем отделе нижнего зубного ряда изъян замещён металлокерамическим мостовидным, а в боковых отделах - съёмным дуговым (бюгельным) протезами. |





