02 августа 2008 года.
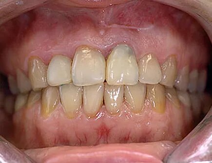
Молодая привлекательная женщина обратилась в клинику «Дента-Люкс» с многочисленными жалобами. Она была неудовлетворена предыдущим лечением. Её не устраивали ортопедические конструкции. Она просила улучшить цвет зубов и избавить её от тёмного пятна на левом верхнем центральном резце. Для того, чтобы скрыть дефекты цвета проблемного зуба, его предлагалось обточить (препарировать), а затем восстановить искусственной коронкой. От такого варианта пациентка отказалась.
Врач-стоматолог «Дента-Люкс» Никольская Софья Андреевна предложила альтернативный, менее инвазивный вариант - клиническое и внутрикоронковое отбеливание. Зубы пациентки имели так называемое «тетрациклиновое» окрашивание - результат приёма антибиотиков тетрациклинового ряда в детском возрасте. Отбеливание «тетрациклиновых» зубов является одной из самых сложных задач в отбеливании и требует нескольких сеансов. Тёмное пятно появилось в результате несостоятельного эндодонтического лечения. Перед внутрикоронковым отбеливанием проводится перелечивание (ревизия) корневого канала.
![]() |
31 августа 2008 года. Процедура клинического отбеливания оказалась очень эффективной, зубы приобрели желанную белизну. |
![]() |
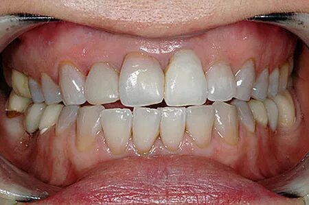
26 февраля 2009 года. Проведённое повторное эндодонтическое (внутриканальное) лечение проблемного резца позволило провести внутрикоронковое отбеливание и добиться желаемого результата. Пятно было полностью устранено. Пациентка приобрела очаровательную улыбку. Имеющиеся деформации зубных рядов в боковых отделах требовали проведения функциональной диагностики и протезирования только на основании полученных данных. Вдохновлённая впечатляющим эстетическим результатом отбеливания, получив информацию о гнатологическом подходе к стоматологическому лечению, пациентка приняла решение о перепротезировании в «Дента-Люкс». Она была назначена к врачу-ортодонту-ортопеду «Дента-Люкс» Лопуховой Наталье Бэртовне. |

