Разновидности:
- из спечёной керамики;
- фрезерованные вкладки из керамики;
- из композитного материала, полимеризованные в специальных световых камерах.

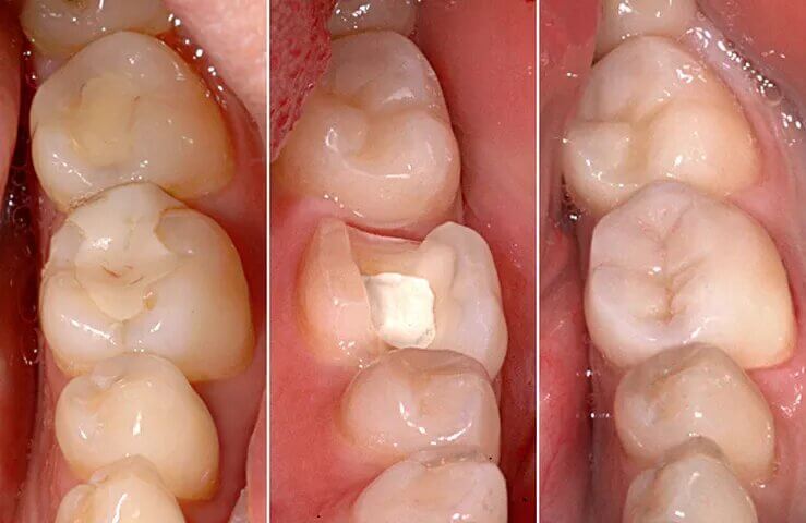
Слева - исходное состояние.
В центре - зуб обработан под установку вкладки.
Справа - результат протезирования вкладкой из спечёной керамики.
Такие вкладки значительно прочнее композитных пломб. Ими удаётся восстановить зубы с разрушениями, не позволяющими уже использовать другие материалы. Монолитный материал вкладок способствует плотному прилеганию, качественной полировке с обеспечением высокой степени чистоты поверхности, препятствующей удержанию на ней зубного налёта. Всё это позволяет получить многолетний устойчивый результат полноценного функционального и эстетического восстановления зубов.
По окончании стоматологического лечения Вы получите приглашение на очередную профессиональную чистку зубов, совмещенную с контрольным осмотром протезов. Это приглашение одновременно является гарантийным талоном и дисконтной картой.
Сроки гарантии приятно удивят Вас!